OrgPad logo

Respiration-Functional anatomy

Created by Jiří Kofránek

Respiration-Functional anatomy

Levá a pravá plíce

image

image

Tracheobronchialní strom - generace

image

image

image

Generation-pulmonary artery

image

image

5-0

Trachea - generace 0

image

Část průdušnice v krku není vystavena změnám nitrohrudního tlaku, ale je velmi zranitelná tlaky vznikajícími v krku, například v důsledku nádorů nebo tvorby hematomů. K uzavření průdušnice stačí vnější tlak řádově 4 kPa (40 cmH 2 O). V hrudníku může být trachea stlačena zvýšeným nitrohrudním tlakem např. při kašli, kdy zmenšený průměr zvyšuje lineární rychlost proudění plynu a tím i účinnost odstraňování sekretu-

Hlavní, lobární a segmentové průdušky (generace 1 až 4)

image

Tyto průdušky jsou vystaveny plnému účinku změn nitrohrudního tlaku a zkolabují, když nitrohrudní tlak překročí intraluminární tlak o ~5 kPa (50 cmH 2 O). K tomu dochází ve větších průduškách během usilovného výdechu, což omezuje maximální výdechovou rychlost.

Trachea a velké buňky

image

Malé průdušky (generace 5 až 11)

image

Malé průdušky se prodlužují asi sedm generací s jejich průměrem postupně klesajícím z 3,5 na 1 mm. Až do úrovně nejmenších skutečných průdušek leží vzduchové průchody v těsné blízkosti větví plicní tepny v pochvě obsahující plicní lymfatické cévy, které mohou být roztaženy edémovou tekutinou, což vede k charakteristickému „závěru“ odpovědnému za nejčasnější radiografické změny. při plicním edému. Protože tyto vzduchové průchody nejsou přímo připojeny k plicnímu parenchymu, nepodléhají přímému tahu a jejich průchodnost závisí na chrupavce v jejich stěnách a na transmurálním tlakovém gradientu, který je normálně kladný z lumen do intratorakálního prostoru.

image

Tracheobronchální strom - rozdělení

image

Bronchioly (generace 12 až 14)

image

Důležitá změna nastává asi v jedenácté generaci, kde je vnitřní průměr ~1 mm. Chrupavka mizí ze stěny dýchacích cest pod touto úrovní a přestává být faktorem pro udržení průchodnosti. Avšak za touto úrovní jsou vzduchové průchody přímo zapuštěny v plicním parenchymu, jehož elastický tah udržuje průchody vzduchu otevřené jako kotevní lana stanu. Proto je kalibr dýchacích cest po jedenácté generaci ovlivněn hlavně objemem plic, protože síly, které udržují jejich světlo otevřené, jsou silnější při vyšších objemech plic. Opak tohoto faktoru způsobuje uzavření dýchacích cest při sníženém objemu plic.

Respirační bronchioly (15. až 18. generace)

image

Až po nejmenší bronchioly jsou funkcemi dýchacích cest pouze vedení a zvlhčování. Za tímto bodem dochází k postupnému přechodu od vedení k výměně plynu. U čtyř generací respiračních bronchiolů dochází k postupnému nárůstu počtu alveolů v jejich stěnách. Stejně jako bronchioly jsou respirační bronchioly uloženy v plicním parenchymu; mají však dobře definovanou svalovou vrstvu s pásy, které se smyčkují přes otvor alveolárních kanálků a ústí nástěnných alveol. Nedochází k žádné významné změně v kalibru postupujících generací respiračních bronchiolů (průměr ~0,4 mm).

Alveolární kanálky (generace 19 až 22)

alveolar ducts

Alveolární kanálky vycházejí z terminálního respiračního bronchiolu, od kterého se liší tím, že nemají jiné stěny než ústí nástěnných alveolů (v počtu přibližně 20). Alveolární septa obsahují řadu prstenců tvořících stěny alveolárních kanálků a obsahujících hladký sval. Přibližně 35 % alveolárního plynu se nachází v alveolárních kanálcích a alveolech, které z nich přímo vycházejí

Alveolární vaky (generace 23)

image

Poslední generace dýchacích cest se liší od alveolárních kanálků pouze tím, že jsou slepé. Odhaduje se, že z každého alveolárního vaku vzniká asi 17 alveol a tvoří asi polovinu celkového počtu alveol

image

Alveolus

image

image

Details of the interstitial space, the capillary endothelium and the alveolar epithelium. Thickening of the interstitial space is confined to the left of the capillary (the service side), whereas the total alveolar/capillary membrane remains thin on the right (the active side), except where it is thickened by the endothelial nucleus. Alv, Alveolus; BM, basement membrane; EN, endothelial nucleus; End, endothelium; Ep, epithelium; FB, fibroblast process; IS, interstitial space; RBC, red blood cell. Source: (Electron micrograph kindly supplied by Professor E. R. Weibel.)

image

Electron micrographs of the collagen fibre network of rat lung at low lung volume (A) and when fully inflated (B).12 Note the folded, zigzag shape of the collagen at low lung volume in (A). Source: (Photograph from Professor Ohtani. Reproduced by permission of Archives of Histology and Cytology.)

image

Electron micrograph of a type II alveolar epithelial cell of a dog. Note the large nucleus, the microvilli and the osmiophilic lamellar bodies thought to release surfactant. Alv, alveolus; C, capillary; LB, lamellar bodies; N, nucleus. Source: (From reference 17 by permission of Professor E. R. Weibel and the editors of Physiological Reviews.)

image

Scanning electron micrograph of an alveolar macrophage advancing to the right over epithelial type I cells. Scale bar = 3 μm. Source: (From Weibel ER. The Pathway for Oxygen. Cambridge, Mass.: Harvard University Press; 1984. With permission. © Harvard University Press.)

alveolus lining

(A) Transmission electron micrograph of alveolar septum with lung inflated to 40% of total lung capacity. The section in the box is enlarged in (B) to show alveolar lining fluid, which has pooled in two concavities of the alveolar epithelium and has also spanned the pore of Kohn in (A). There is a thin film of osmiophilic material (arrows), probably surfactant, at the interface between air and the alveolar lining fluid. Source: (From reference 10 by permission of the authors and the editors of Journal of Applied Physiology.)

Acinus

image

Plicní lalůčky v sekundárním lobulu

Drawing-of-the-secondary-pulmonary-lobule-of-the-lung-The-interlobular-septa-runs-along

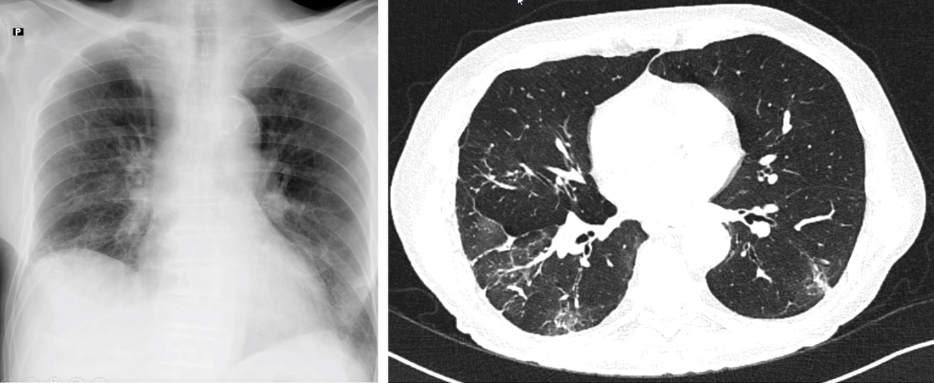
Možnosti rtg diagnostiky

image

image

image

image

Od rentgenového snímku k umělé inteligenci

image